"Yes, and I'll bet you were a darling blastocyst." Gregor to Laisa in Lois McMaster Bujold's A Civil Campaign.

Egg donor conception: a nontraditional story

I started trying to get pregnant when I was 37, which is a little late, but not ridiculous, we thought. After nine months of nonsuccess, I had a workup done, which showed nothing wrong.

So we continued to try, following the advice in the book Taking Charge of Your Fertility by Toni Weschler. But eventually it was time for more testing and interventions. I had surgery for endometriosis, which it turned out I had in spades. A nice side effect of this was that I no longer have any menstrual cramps -- I should have done this a decade ago. After the surgery, we thought we should try the natural way again for a while, since after all I had had a problem, and it had been corrected. In retrospect, that may not have been the wisest choice, since we ended up waiting another year before going whole hog and trying IVF.

It turned out that the IVF drugs didn't stimulate my ovaries very well at all, and it wasn't until the third cycle that they got enough eggs to bother retrieving (and then only four). Only two of those four were retrieved intact, and neither of those fertilized (they let in more than one sperm.) The doctor said this was indicative of elderly generally bad quality eggs, and he didn't really see any point in our continuing to try with my eggs. This made me sad, considering I was only 41. Another doctor believed that the endometriosis, which is not well understood, contributed to the premature aging of my eggs.

Partway through all of this, a younger relative of Valerie's had asked us if we wanted an egg donor. At the time she mentioned this, we were not yet ready for that, because we had not yet exhausted all of our other options. But we told her we would keep it in mind. So, when it became clear that my eggs were not going to be useful, we asked her if she had been serious with her offer. Her life situation changed by this point and so she was a little reluctant, but after some discussion with us and with her new boyfriend, she decided to go ahead with the donation.

Doing this stuff long distance (the donor lives a plane flight away) was complicated -- some procedures could be done on me locally but getting test results faxed in a timely fashion was sometimes problematical, and required a lot of telephone babysitting. I had to fly across the country twice, the first time for preliminary testing and their required meeting with their social worker, which they did not want to do over the telephone, and second time for the final procedures. Egg donation is a little more complicated than regular IVF, because of the issue of synchronization. So I was on various drugs for quite a while waiting for the donor's cycles to match with mine.

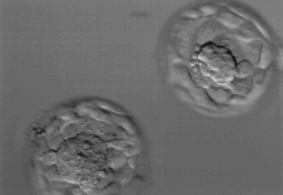
In the end, everything was wildly successful -- we retrieved 20 eggs, of which 12 fertilized, and of those 5 grew to the five-day blastocyst stage. We transferred two of those, and froze the other three. The doctor believed the probability per embryo to be 50%, which gave us a 25% chance of getting twins. We discussed transferring only one and freezing the other four, because we thought that having twins would be a lot of work and maybe we should have our children one at a time, but the thaw rate is poor, and so our probability of not getting any at all seemed too large, since we weren't going to have another chance as the donor only wanted to go through the procedure one time, rather than trying multiple times if it didn't work out the first time. Both embryos took so we did get twins, and they are in fact a lot of work!

They kindly provided us with a photo of the embryos under the microscope. Don't you think the one on the right has Ken's eyes? (They both did end up with blue/gray eyes, so it really did!)

Resources

Infertility can be a hard road, both emotionally and financially. Fortunately in Massachusetts, state law is that infertility must be covered by your insurance. Other states do not have this, and so prospective parents must spend thousands of dollars, even if they don't succeed (as we didn't succeed with our IVF attempts.)

We joined Resolve, which is a national infertility organization, and attended many support group meetings held locally. These support groups were "peer led", which means that they didn't really cost money other than being a member. There are also a number of professionally led groups, and ones that are targeted specifically to an individual choice (deciding about adoption, for example). Each state has its own organization as well as the national one, we naturally used the Massachusetts chapter.

I attended a few meetings of a donor egg group, but by then I was already pregnant, so I mostly served to offer advice rather then receive it. Most Resolve meetings request that you don't come if you are pregnant, because it can be emotionally difficult for some people who are having infertility to be in the company of somebody who is pregnant, but the donor egg group explicitly said that it was for people in all stages of the process. Because donor egg is almost always done with a donor who is young and fertile, it is rare to have a complete failure, although it does happen, and then it is a much bigger blow than the failure of an IVF cycle. Although, when our IVF cycles failed, I confess I was pretty sad, because I had had this plan that we would try various different levels of intervention, ending with IVF and a baby, and we had to take it one step further.

We were very happy to have a known donor, because we like the idea of knowing something about the genetic background of the children. Having Valerie genetically related to the egg donor was also a huge bonus. Most egg donation, however, is done anonymously, and arranged through a broker. Although we did have a humorous bit with our IVF doctor when we were having the discussion about not using my genetic material anymore -- he started to say something about how 99% of human genetics is actually shared with the rest of humanity, and I interrupted with "and chimpanzees", which kind of derailed his whole speech. But there's quite a lot of stuff in that 1% that we care about.

Egg donation carries with it some of the same issues as adoption, specifically, whether and when to tell the children about their unusual origin, and whether to tell the world also. We have chosen to be completely open about it.

Because it is a new technology, and not common, there aren't any laws covering egg donation, so each donor/recipient pair should enter into a legal agreement about rights and responsibilities (in particular that the donor has no responsibilities regarding the children, and the recipient accepts all such responsibilities.) We also put visitation clauses in, along with a number of other issues. We liked our lawyer, Susan Crockin, (617) 332-7070.